CABINET DENTAIRE À LALOUBÈRE
DRS LABRET, PUCHOUAU, TROLLI, BROSSIER, BUCHE CHIRURGIENS DENTISTES (65)
1 D Rue des Pyrénées 1 D RUE DES PYRENEES, 65310 LALOUBERE
+33 5 82 15 00 30
CABINET DENTAIRE À LALOUBÈRE
DRS LABRET, PUCHOUAU, TROLLI, BROSSIER, BUCHE CHIRURGIENS DENTISTES (65)

Blog - Page 3

Régénération tissulaire guidée

Régénération tissulaire guidée

Allongement coronaire

Allongement coronaire

Mandibule complète et traitement implantaire pour un bridge fixe scellé

Mandibule complète et traitement implantaire pour un bridge fixe scellé

Eclaircissement ambulatoire

Eclaircissement ambulatoire

Comblement de sinus par voie latérale (sinus lift) avec implantation différée

Comblement de sinus par voie latérale (sinus lift) avec implantation différée

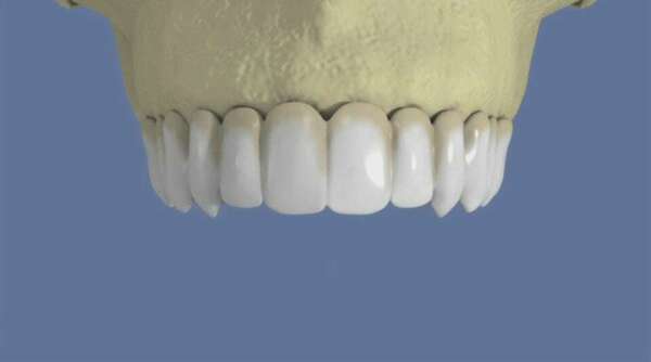
Maxillaire : bridge vissé sans fausse gencive

Maxillaire : bridge vissé sans fausse gencive

Affichage des articles 13-18 sur 188

Création par Webdentiste

Connexion